In den letzten Tagen sind einige Dinge passiert über die wir noch berichten möchten. Am besten fangen wir mit unserem neusten Notfall an. Er trägt den Namen Mázli (Glück)
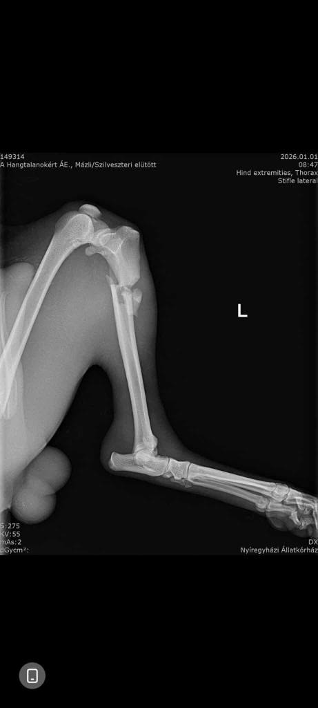
. Mázli hatte in der Tat Glück, dass er gefunden wurde und Hilfe bekam. Glück, dass es bei einem Schienbeinbruch blieb! Der junge Rüde wurde am 31.12 von einer Mitarbeiterin des Tierheims auf der Straße gefunden und durfte die Nacht bei ihr Zuhause im Warmen verbringen. Am Donnerstag kam er in die Tierklinik, wo der besagte Schienbeinbruch diagnostiziert wurde. Zum Glück hat er keine inneren Blutungen. Gechipt ist er allerdings auch nicht. Naheliegend ist, dass Mázli mit einem Auto kollidiert ist.
Mázli wurde stationär aufgenommen und muss operiert werden. Hier hoffen wir auf eure Hilfe, denn aktuell haben wir wieder dutzende Hunde die ins Tierheim gekommen sind, auf Rettung warten und medizinisch versorgt werden müssen.
Mázli freut sich über einmalige Spenden, ebenso über einen monatlichen Paten ![]()
Unser Spendenkonto:
Tierschutzverein Ungarische Hundeseelen DE61 3345 0000 0026 0540 72
Sparkasse Hilden Ratingen Velbert
Paypal info@ungarischehundeseelen.de
Verwendungszweck OP Mázli
Informationen zu Patenschaften:
https://ungarischehundeseelen.de/patenhunde-sponsoren…/






