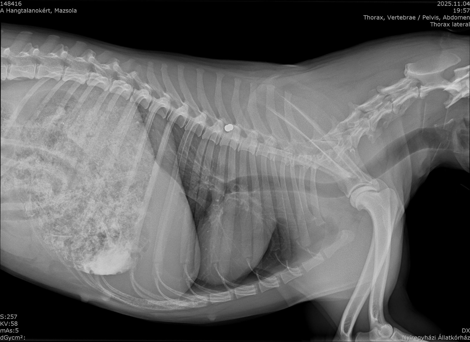
Vorgestern Abend fand ein ungarisches Pärchen eine offensichtlich verletzte Hündin auf der Straße liegend. Sofort war klar, dass sie ihr helfen. Mit dem Verdacht, dass Mazsola (so wurde sie nun getauft) von einem Auto angefahren wurde, ging es in die Tierklinik. Die dortigen Untersuchungen brachten jedoch viel schlimmeres hervor. Auf Mazsola wurde insgesamt 3 mal geschossen! 2 Patronen eines Luftgewehrs steckten in ihrem Körper und die Patrone eines Jagdgewehrs. Ein grausamer Mensch hat die Hündin gezielt verletzt und zum sterben liegen gelassen! Maszolas Zustand war so kritisch, dass sie operiert werden musste. Die dritte Kugel hat ihre Harnröhre, Blase und Gebärmutter durchbohrt… Die Gebärmutter wurde entfernt, die Blase und Harnröhre vernäht. Mazsolas Zustand ist äußerst schlecht und zum jetzigen Stand ist unklar, ob die Hündin überleben wird. Wir hoffen sehr, dass Mazsola große Schutzengel hat und ihr Kämpferwille ungebrochen bleibt!
Mazsola wurde in der kleinen Gemeinde Kék gefunden. Emese hat sich mit dem Gemeindesekretär in Verbindung gesetzt und um Mithilfe in der Ermittlung des Täters gebeten. Alle Dokumentationen und Befunde zu Mazsola wurden eingereicht und Hilfe wurde zugesagt. Eine Anzeige wegen Tierquälerei wurde erstattet!
Derzeit schwebt Mazsola in Lebensgefahr. Bitte drückt ihr alle Daumen und Pfoten die ihr habt und bitte unterstützt uns im Kampf für sie! Auch wir danken dem Paar, welches Mazsola nicht liegen lassen hat ❤🩹. Sie wäre elendig alleie gestorben ohne Hilfe.
Unser Spendenkonto:
Tierschutzverein Ungarische Hundeseelen
DE61 3345 0000 0026 0540 72
Sparkasse Hilden Ratingen Velbert
Paypal: info@ungarischehundeseelen.de
Verwendungszweck; OP Mazsola






