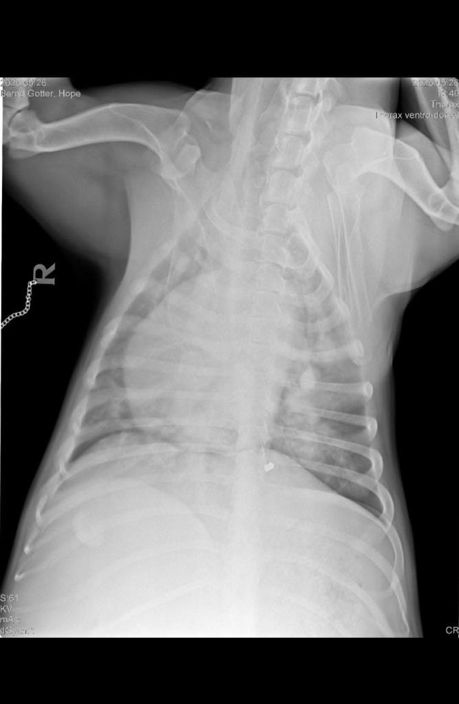
Wir hatten gestern Abend einen Videocall mit Hopes Besitzerin. Am Montag wurde Hopes Lunge geröntgt und ihr Herz wiederholt geschallt. Die ursprünglich geplante Herz OP wurde aufgrund neuer Erkenntnisse abgesagt. Hope hat weiterhin Wasser im Bauch, ihre Lunge arbeitet sehr schlecht, wodurch Hope Schwierigkeiten beim atmen hat. Ihr Zustand ist kritisch, sie ist schwach und bekommt aktuell täglich 7 verschiedene Medikamente. In der Lungenarterie wurden Würmer entdeckt. Eine Entfernung der Würmer an dieser Stelle ist nicht möglich, da Hope verbluten würde. Für eine Narkose ist die Hündin derzeit nicht stabil genug und würde sie nicht überleben. Die rechte Herzkammer ist beschädigt und die Herzpumpe in ihrer Funktion auch sehr beeinträchtigt. Alles in allem sind die Gegebenheiten wirklich schwer, also gibt es zum jetzigen Stand nur die Möglichkeit rein medikamentös zu behandeln und die Würmer abzutöten. Eine OP ist nicht auszuschließen, sofern Hope stabil genug sein wird, doch das braucht Zeit und viel Glück. In der Hoffnung, dass die Medikamente ihr bestes tun, werden Hopes Herz und Lunge kommende Woche Mittwoch nochmal geröntgt und geschallt.
Leider wurden durch die Röntgenaufnahmen auch 2 Diabolos entdeckt, wovon eine an ihrer Rippe befindlich ist. Schlimm genug, dass Hope so schlecht behandelt und misshandelt wurde. Man hat auch noch auf sie geschossen! Die andere Patrone sitzt sehr ungünstig in der Nähe der Wirbelsäule und muss ggf. entfernt werden, was aber auch gewisse Risiken mit sich bringt!
Die Medikamente sind sehr teuer und weitere Untersuchungen stehen an. Hope steht noch ein langer Weg bevor und wir hoffen alle gemeinsam, dass sie wieder gesund wird. Die Rechnung vom Montag beträgt umgerechnet 87€. Die Medikamente haben etwa 550€ gekostet. Eure Spenden werden wir für weitere anstehende Untersuchungen von Hope nutzen. Sie benötigt in jedem Fall langfristig Medikamente. Da eine hohe Summe zusammengekommen ist, stellen wir den Spendenaufruf zunächst ein und werden euch nächste Woche auf den neusten Stand bringt.
Wir bedanken uns von ganzen Herzen für eure Anteilnahme und Unterstützung! ![]()
Martina & Volker K. 50€
Gabriele F. 100€
Beate D. 200€
Norbert K. 100€
Karin R. 100€
Ursula L. 20€
Barbara W. 40€
Michaela B 20€
Susanne G. 100€
Stefan & Manuela Sch. 100€
Jennifer Kim F. 20€
Christian L. 200€
Bettina N. 10€
Jaqueline L. 100€
Ariane G. 50€
Benjamin G. 20€
Huanita M. 25€
Jennifer N. 15€
Kerstin L. 500€
Cornelia H. 50€
Birgit V. 10€
Nina & Marcus V. S. 50€
Heidrun P. 20€
=1900€ Spende Dank EUCH ![]()




