Heute war Zeus beim Tierarzt. Zunächst wurde der Karabiner aus seinem Hals entfernt, alles gründlich desinfiziert und zugenäht Für Zeus ein wirklich befreiendes Gefühl!
Die Waage zeigte nur 22 Kilo an, was beweist wie wahnsinnig dünn Zeus ist. Ein gesunder Kommondor Rüde wiegt 50-60 Kilo!
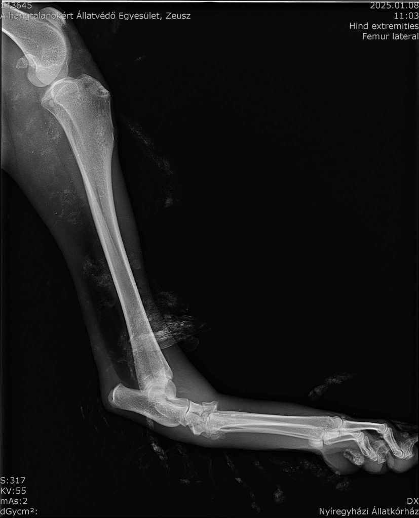
Das Röntgenbild hat verdeutlicht, dass Zeus nicht nur einen Bänderriss hat. Er hat ebenso eine Luxation im Fußgelenk. Das bedeutet seine Knochen haben ihre natürliche Ausrichtung verändert, wodurch Zeus Schmerzen im Sprunggelenk hat und nicht richtig laufen kann. Zeus wird daher diese Woche operiert, damit er bald wieder schmerzfrei laufen kann.
Vier seiner Blutwerte sind zu hoch, einer nah an der Grenze von „zu niedrig“. Die Werte weisen auf Flüssigkeitsmangel/Dehydrierung, einen möglichen Infekt und einen Mangel an Vitamin B12 und Folsäure auf.
Zeus erhält bereits Medikamente und glücklicherweise hat er auch schon 2 Patinnen gefunden, die ihn monatlich unterstützen werden
.
Die anstehende OP, inklusive Medikamente und Nachbehandlung kosten knapp 1000€.
Und weil ihr so super toll seid und wir uns immer auf euch verlassen können, haben wir schon 1020€ für Zeus gesammelt!
VIELEN LIEBEN DANK ![]()
![]()
![]()
![]()
Wir sind weiterhin über jede Hilfe dankbar und nutzen übrige Gelder gerne für unsere anderen Notfälle ![]()
Unser Spendenkonto:
Tierschutzverein Ungarische Hundeseelen DE61 3345 0000 0026 0540 72
Paypal:
info@ungarischehundeseelen.de
Verwendungszweck: Zeus








