Pedro ist 12 Jahre alt, aufgrund seines Alters immungeschwächt und leidet jedes Jahr unter Zwingerhusten, sobald die Temperaturen stärker schwanken. Er wurde aufgrund des Hustens
Pedro ist 12 Jahre alt, aufgrund seines Alters immungeschwächt und leidet jedes Jahr unter Zwingerhusten, sobald die Temperaturen stärker schwanken. Er wurde aufgrund des Hustens
Zeus lässt mal wieder von sich hören! Er erholt sich gut und erweist sich als sehr menschenbezogen. Einer der Gründe, warum wir ihn gerne bei
Der vermittelnde Verein (Polly ist nicht von uns) bittet verzweifelt um Hilfe und gibt alles, damit Polly unversehrt gesichert werden kann. Polly ist schon lange
Sachspenden nehmen wir jederzeit entgegen. Am Samstag geht wieder eine Menge nach Ungarn. Wer noch etwas mitgeben möchte, kann sich gerne melden oder die Möglichkeit
4-5 Wochen jung und alleine auf der Straße unterwegs… Ziemlich offensichtlich wollte hier jemand Shelly nicht haben und ist die Gefahr eingegangen, dass ihr etwas
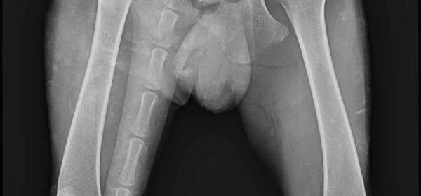
Hani hat die Röntgenaufnahmen hinter sich gebracht und sich von der Sedierung erholt. Leider ist die erste Prognose alles andere als erfreulich und hat uns