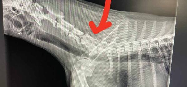
Der gestrige Besuch in einer Siedlung in Ibrány hatte es voll in sich… Die weiße Hündin Tiana (Bild 1-4) sollte ursprünglich zur Kastration durch unser
Der gestrige Besuch in einer Siedlung in Ibrány hatte es voll in sich… Die weiße Hündin Tiana (Bild 1-4) sollte ursprünglich zur Kastration durch unser
Die Fotos stammen vom vergangenen Bark Date in Düsseldorf. Bisher wartet Lexi leider immer noch vergebens auf ihre Menschen.Wird sie vielleicht jetzt fündig? Ihr könnt
Heute Mittag konnte diese Hundefamilie gesichert werden. Alle 5 Schnuffel sind soweit wohlauf. Zum Glück Die medizinische Erstversorgung steht an und ihr könnt wie immer
Vielen lieben Dank an alle die an der Futteraktion teilgenommen haben. Es wurden 70 Säcke, also 700 Kilo Futter, binnen 3 Tagen gespendet. Wir geben
Eine tolle Nachricht und schöne Bilder gibt es jetzt auch von Merida. Sie hat ihr Glück vergangene Woche gefunden und fühlt sich offenbar schon ziemlich
Bambusz befindet sich immer noch in der Tierklinik. Ihr Zustand ist schon wesentlich besser als vergangene Woche, dennoch ist weiterhin unklar wo das Problem liegt.